Ministerio de Ciencia e Innovación

Descubierto un mecanismo clave para la formación del tejido adiposo marrón que previene la obesidad

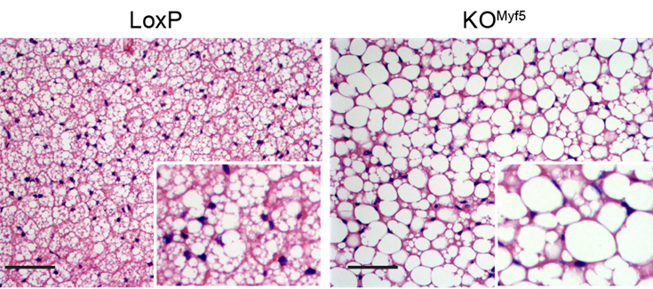
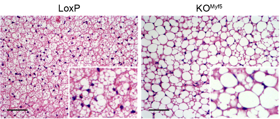
Histology figure 6 months male mice (IRB Barcelona)
IRB Barcelona | lunes, 26 de septiembre de 2022

La obesidad es un problema creciente de salud a nivel global y su prevalencia se ha triplicado desde el año 1975. A nivel mundial, hay más de 650 millones de personas afectadas y en España el 28% de los mayores de 18 años presentan esta patología compleja. La obesidad está relacionada con enfermedades como la Diabetes tipo II, enfermedades cardiovasculares, la osteoartritis y ciertas formas de cáncer.

El tejido adiposo es el encargado de gestionar la reserva de grasas del cuerpo y existen dos tipos diferenciados: el tejido adiposo blanco, que almacena reservas energéticas en forma de lípidos, mientras que la función metabólica del tejido adiposo marrón es la oxidación de lípidos para producir calor.

Investigadores del IRB Barcelona y el CIBERDEM, liderados por Antonio Zorzano, Catedrático de la Facultad de Biología de la Universidad de Barcelona (UB), han descrito un mecanismo que regula la correcta formación del tejido adiposo marrón a través de la autofagia, un proceso natural de renovación celular.  En concreto, los científicos han descrito cómo la proteína NCOR1, que regula varios genes, necesita ser degradada mediante un mecanismo conocido como autofagia, para que las células del tejido adiposo marrón se desarrollen con normalidad.

La proteína encargada de “marcar” NCOR1 para su eliminación es la proteína  TP53INP2 que, en el laboratorio de laboratorio de Enfermedades Metabólicas Complejas y Mitocondrias del IRB Barcelona, llevan años estudiando. Los investigadores han comprobado también, utilizando modelos animales de ratón, cómo un tejido adiposo defectuoso o insuficiente (provocado por un error en la eliminación de NCOR1), se asocia a mayores niveles de obesidad.

“Hay una clara correlación entre niveles bajos de tejido adiposo marrón y obesidad, pero aún no sabemos si es causa o consecuencia. Nuestro descubrimiento abre la vía para intervenir en los procesos de autofagia para reforzar este tejido adiposo marrón y así prevenir o tratar la obesidad y otras enfermedades metabólicas asociadas”, explica el Dr. Zorzano.

La autofagia como herramienta de regulación

La autofagia es un proceso natural de degradación de componentes celulares. Inicialmente se creía que respondía principalmente a labores de “limpieza” de elementos dañados o envejecidos. Sin embargo, desde hace algunos años, la evidencia científica la señala como un elemento clave de la regulación de las funciones celulares, eliminando proteínas que ejercen determinadas funciones.

Este estudio, relaciona la autofagia y la obesidad, a través del desarrollo de tejido adiposo marrón. “En un trabajo anterior también habíamos observado que la proteína TP53INP2 tiene el efecto contrario en la formación del tejido adiposo blanco, es decir, reprime su formación. Esto convierte a esta proteína en una aliada para un manejo más saludable de las grasas”, concluye la Dra. Alba Sabaté, investigadora postdoctoral del mismo laboratorio y primera autora del estudio.

El trabajo se ha llevado a cabo en colaboración con grupos de investigación a nivel nacional del Vall d'Hebron Institut de Recerca (VHIR), de la Facultad de Medicina y Ciencias de la Salud de la Universidad de Barcelona, y a nivel internacional con científicos de la Universidad de Cambridge.

Artículo de referencia 

Autophagy-mediated NCOR1 degradation is required for brown fat maturation and thermogenesis Alba Sabaté-Pérez, Montserrat Romero, Paula Sànchez-Fernàndez-de-Landa, Stefania Carobbio, Michail Mouratidis, David Sala, Pablo Engel, Josep A Villena, Sam Virtue, Antonio Vidal-Puig, Manuel Palacín, Xavier Testar & Antonio Zorzano Autophagy (2022) DOI: 10.1080/15548627.2022.2111081