Ministerio de Ciencia e Innovación

La autofagia resuelve la inflamación retiniana causada por el déficit en IGF-1 en el ratón-

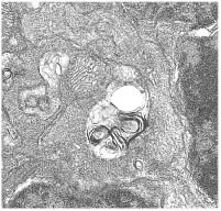
Imagen de microscopía electrónica mostrando los autofagosomas presentes en las retinas de ratones knock-out para Igf1.
CIBERER | jueves, 8 de septiembre de 2016

Investigadoras de la U761 CIBERER, liderada por la Prof. Isabel Varela-Nieto, en colaboración con el grupo de la Dra. Ángela Martínez Valverde, perteneciente al CIBERDEM, han estudiado los efectos asociados a la neuroinflamación y la autofagia que se producen en la retina de los ratones deficientes en Igf1 durante el envejecimiento.

Estos ratones presentan hipoacusia congénita severa y, como ya había descrito previamente la U761 CIBERER, pérdida de visión progresiva asociada a la edad que se acompaña de alteraciones estructurales en las primeras sinapsis de la retina (1).

Los resultados de este trabajo muestran que el ratón deficiente en Igf1 presenta una inflamación crónica en la retina que se ve atenuada mediante activación de la autofagia a los 6 meses de edad, pero que no es capaz de hacerlo a los 12 meses. El estudio proporciona evidencias que apuntan a que la autofagia podría proteger frente a la inflamación crónica de la retina durante el envejecimiento en un modelo de ratón deficiente en IGF-1. El trabajo ha sido publicado recientemente en Disease Models & Mechanisms. Disease Models & Mechanisms.

(1) Age-related functional and structural retinal modifications in the Igf1-/- null mouse. Neurobiol Dis. 2012 May;46(2):476-85. PMID: 22402333.

Artículo de referencia:

Autophagy resolves early retinal inflammation in Igf1-deficient mice. Ana I. Arroba, Lourdes Rodríguez-de la Rosa, Silvia Murillo-Cuesta, Laura Vaquero-Villanueva, Juan M. Hurlé,Isabel Varela-Nieto, Ángela M. Valverde. Disease Models & Mechanisms. 2016 Jul 21.