Ministerio de Ciencia e Innovación

Noticias

  • CIBERER
    Un grupo multidisciplinar de autores lanza el primer libro en español sobre la ética en la investigación de las enfermedades raras
    03/03/2016
    Un grupo multidisciplinar de autores lanza el primer libro en español sobre la ética en la investigación de las enfermedades raras
  • CIBERBBN
    Esther Pueyo explica el papel de la ingeniería para prevenir arritmias
    03/03/2016
    Esther Pueyo explica el papel de la ingeniería para prevenir arritmias
  • CIBEROBN
    La predisposición genética podría explicar el 60% del riesgo de tener obesidad, según expertos
    03/03/2016
    La predisposición genética podría explicar el 60% del riesgo de tener obesidad, según expertos
  • CIBERES
    Un estudio señala que hay un amplio margen de mejora en el diagnóstico y tratamiento del síndrome de distrés respiratorio agudo
    02/03/2016
    Un estudio señala que hay un amplio margen de mejora en el diagnóstico y tratamiento del síndrome de distrés respiratorio agudo
  • CIBERES
    Investigadores del grupo 26 del CIBERES, detectan una nueva especie bacteriana causante de infecciones en humanos
    01/03/2016
    Investigadores del grupo 26 del CIBERES, detectan una nueva especie bacteriana causante de infecciones en humanos
  • CIBERES
    Proponen la auscultación respiratoria para el diagnóstico precoz de la fibrosis pulmonar idiopática
    01/03/2016
    Proponen la auscultación respiratoria para el diagnóstico precoz de la fibrosis pulmonar idiopática
  • CIBERER
    CIBERER celebra en red el Día Mundial de las Enfermedades Raras sumándose a la campaña "Creando REDES de esperanza" de FEDER
    29/02/2016
    CIBERER celebra en red el Día Mundial de las Enfermedades Raras sumándose a la campaña "Creando REDES de esperanza" de FEDER
  • CIBERESP
    Estudian el efecto de la crisis en el consumo de antidepresivos y ansiolíticos
    29/02/2016
    Estudian el efecto de la crisis en el consumo de antidepresivos y ansiolíticos
  • CIBERDEM
    Los mayores con DM2 deben hacer actividad física orientada a controlar la glucemia y mantener el peso ideal
    29/02/2016
    Los mayores con DM2 deben hacer actividad física orientada a controlar la glucemia y mantener el peso ideal
  • CIBERES
    El Grupo 22 del CIBERES organiza una conferencia del Premio Nobel Aaron Ciechanover sobre ubiquitinización, enfermedades y fármacos
    25/02/2016
    El Grupo 22 del CIBERES organiza una conferencia del Premio Nobel Aaron Ciechanover sobre ubiquitinización, enfermedades y fármacos
  • CIBERSAM
    Lideran un consenso mundial para la humanización del tratamiento de los pacientes agitados
    25/02/2016
    Lideran un consenso mundial para la humanización del tratamiento de los pacientes agitados
  • CIBERSAM
    Benedicto Crespo-Facorro es nombrado Catedrático de Psiquiatría de la Universidad de Cantabria
    23/02/2016
    Benedicto Crespo-Facorro es nombrado Catedrático de Psiquiatría de la Universidad de Cantabria
  • CIBERBBN
    Crean unos sensores de grafeno que permiten detectar la actividad eléctrica del cerebro
    23/02/2016
    Crean unos sensores de grafeno que permiten detectar la actividad eléctrica del cerebro
  • CIBERSAM
    Nuevos hallazgos revelan procesos fisiológicos cerebrales alterados en la esquizofrenia
    23/02/2016
    Nuevos hallazgos revelan procesos fisiológicos cerebrales alterados en la esquizofrenia
  • CIBERER
    Demuestran la relación del gen 'Wbp2' con la hipoacusia
    23/02/2016
    Demuestran la relación del gen 'Wbp2' con la hipoacusia
  • CIBEREHD
    Disponibles las Guías europeas de práctica clínica de trasplante hepático en las que han colaborado investigadores del CIBEREHD
    19/02/2016
    Disponibles las Guías europeas de práctica clínica de trasplante hepático en las que han colaborado investigadores del CIBEREHD
  • CIBEREHD
    La ILCA School actualizará los conocimientos sobre asistencia e investigación en cáncer hepático en Barcelona
    19/02/2016
    La ILCA School actualizará los conocimientos sobre asistencia e investigación en cáncer hepático en Barcelona
  • CIBEROBN
    Un artículo de PREDIMED, escogido como uno de los de más impacto del año en estilo de vida y salud cardiovascular
    18/02/2016
    Un artículo de PREDIMED, escogido como uno de los de más impacto del año en estilo de vida y salud cardiovascular
  • CIBERER
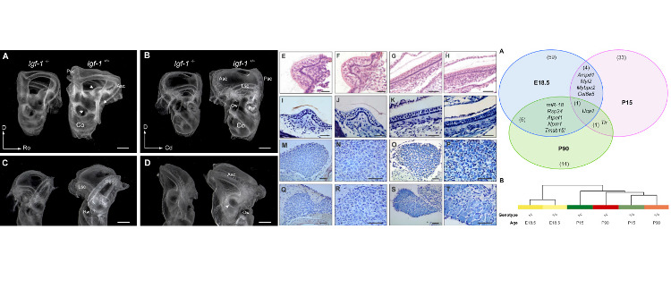
    La deficiencia en IGF-1 altera los niveles de expresión de microRNAs y afecta a la incorporación postnatal de neuronas vestibulares
    17/02/2016
    La deficiencia en IGF-1 altera los niveles de expresión de microRNAs y afecta a la incorporación postnatal de neuronas vestibulares
  • CIBERESP
    Investigadores del CIBERESP generan evidencia sobre cómo reducir las desigualdades de salud en Europa
    17/02/2016
    Investigadores del CIBERESP generan evidencia sobre cómo reducir las desigualdades de salud en Europa
  • CIBEREHD
    Las Guías Clínicas de Hepatocarcinoma se presentan en el Congreso de la AEEH
    15/02/2016
    Las Guías Clínicas de Hepatocarcinoma se presentan en el Congreso de la AEEH
  • CIBEROBN
    Un estudio con participación de la UPV y el CIBEROBN afirma que los videojuegos activos colaborativos promueven la actividad física en niños y jóvenes
    11/02/2016
    Un estudio con participación de la UPV y el CIBEROBN afirma que los videojuegos activos colaborativos promueven la actividad física en niños y jóvenes
  • CIBERESP
    Las personas con trastornos mentales tienen un mayor riesgo de desarrollar enfermedades físicas crónicas
    11/02/2016
    Las personas con trastornos mentales tienen un mayor riesgo de desarrollar enfermedades físicas crónicas
  • CIBERESP
    Arranca HA-REACT, una iniciativa para mejorar la prevención del VIH en países con conductas de riesgo
    10/02/2016
    Arranca HA-REACT, una iniciativa para mejorar la prevención del VIH en países con conductas de riesgo